Ontstoken tandvlees

Ontstoken tandvlees


Symptomen

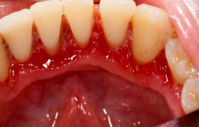
Gezond tandvlees is roze gekleurd. Ongezond of ontstoken tandvlees is vaak roder van kleur, gezwollen en het bloedt sneller, bijvoorbeeld bij het tandenpoetsen. Gezond tandvlees bloedt nooit! Een tandvleesontsteking (gingivitis) is een ontsteking van het tandvlees. Parodontitis is een ander soort tandvleesontsteking en ontstaat door gingivitis. Bij deze ontsteking is meer ontstoken dan alleen het tandvlees.

De ontsteking in de rand van het tandvlees komt door bacteriën in tandplak. Elke keer als je wat eet of drinkt, blijven er resten achter in je mond. Deze resten vormen samen met je speeksel een zacht en kleverig laagje over je tanden en kiezen. Dit laagje heet tandplak. Het is wit of een beetje geel. Tandplak bestaat voor 70% uit bacteriën. Tandplak kan verkalken tot tandsteen dat stevig vastzit aan de tanden en kiezen. Op de tandsteen wordt weer een nieuw laagje plak gevormd. Dit proces herhaalt zich.

Ontstoken tandvlees is niet altijd duidelijk te zien. Het tandvlees kan rood, slap en gezwollen zijn. Het bloedt bij het tandenpoetsen. Ook vieze smaak of slechte adem kunnen tekenen van ontstoken tandvlees zijn. Ontstoken tandvlees is zelden pijnlijk.

De ontsteking in de tandvleesrand kan zich uitbreiden naar het kaakbot. Het tandvlees laat daardoor los van de tanden en kiezen. Er ontstaat daardoor een ruimte. Dat wordt een verdiepte pocket genoemd.  
In die ruimte tussen tandvlees en tanden en kiezen vormt zich weer tandplak. Hierdoor breidt de ontsteking zich nog verder uit in de diepte. Het kaakbot wordt afgebroken. Hierdoor worden de pockets dieper.
In de verdiepte pockets verkalkt de tandplak gedeeltelijk tot tandsteen. Deze ontsteking met afbraak van vezels en kaakbot heet parodontitis. Kaakbot dat afgebroken is kan zich niet meer herstellen.

Behandeling

Gezond eten, voldoende rust en een goede mondhygiëne zijn de eerste stappen naar genezing. Bloedend tandvlees betekent dat het tandvlees ontstoken is. De veroorzaker van ontstoken tandvlees is tandplak. Daarom is het belangrijk je mond goed schoon te houden.

Preventie

De oorzaak van tandvleesontsteking ligt vooral bij een slechte mondhygiëne. 

Ga 1 of 2 keer per jaar voor controle naar je tandarts of mondhygiënist. Ook als je geen klachten hebt. Poets 2 keer per dag 2 minuten met een fluoride-tandpasta. Na het tandenpoetsen verwijder je de plak tussen de tanden en kiezen met een tandenstoker, flosdraad of rager. Vervang je tandenborstel elke drie maanden en gebruik een zachte borstel. Ook het gebruik van een elektrische tandenborstel wordt aangeraden. Poets ook je tong, ook daar zitten bacteriën.

Fluoride maakt het glazuur sterk. Het maakt ook het tandbeen en ander botweefsel in het lichaam sterker. Daarmee wordt niet alleen de kans op gaatjes kleiner, maar ook het risico van een ontsteking van de tandholte of zelfs van het kaakbeen. 
Stop met roken en gebruik niet of weinig drank met alcohol. Alcohol zorgt namelijk voor een slechtere gezondheid van de tanden en het tandvlees. 
Drink regelmatig water, thee of koffie zonder suiker. Drink weinig of geen frisdranken en vruchtensappen.
Je kunt kauwen op suikervrije kauwgom. Hierdoor maak je meer speeksel en dit beschermt je gebit.

Beperk het aantal keren op een dag dat je eet en drinkt tot 7 keer: 3 keer een hoofdmaaltijd en 4 keer een klein tussendoortje. Zo kan het speeksel in je mond helpen om je gebit te beschermen. Als je iets zuurs gegeten of gedronken hebt zoals een sinaasappel, frisdrank of vruchtensap, wacht dan 1 uur of langer voordat je je tanden gaat poetsen.

Wanneer hulp zoeken?

Als je je mond goed verzorgt en ook niet rookt, maar toch ontstoken tandvlees hebt, ben je mogelijk overgevoelig voor bepaalde stoffen. Overleg met je tandarts wat je kunt doen. Ook als je tandvlees veel last geeft, kun je contact opnemen met je tandarts.

Informatiebronnen

KNMT

Ivoren Kruis 

Tandarts.nl 

 

Laatste wijziging: oktober 2025

Zelfzorgproducten bij ontstoken tandvlees

Corsodyl® Alcoholvrij Mondspoeling
Corsodyl® Tandgel
Pyralvex